Niestety, wpłata na tę zbiórkę nie jest już możliwa.

Prosimy o wsparcie dla kocurka Wojtusia. Kot żyje na wsi pod Żninem, po 2 dniowej nieobecności w miejscu dokarmiania, wrócił ze złamaną tylną łapką. W bólu i cierpieniu skrył się w budce. Niestety nie wiadomo czy stał się ofiarą wypadku samochodowego, celowego działania człowieka lub innego nieszczęścia.

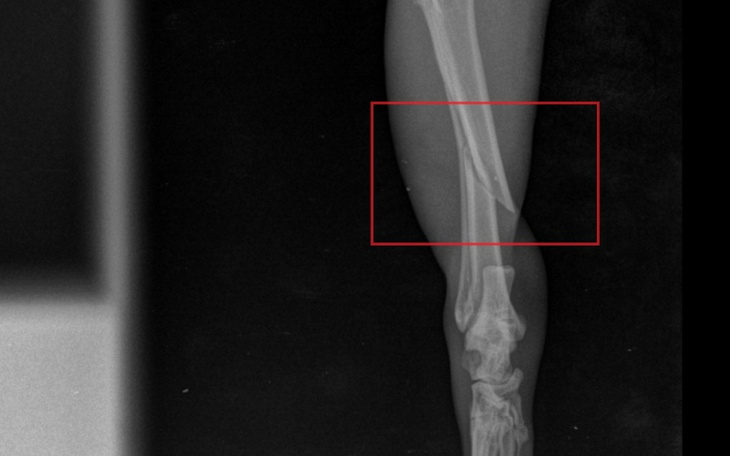
Zdjęcie RTG wykonane następnego dnia w żnińskiej lecznicy wykazało, iż złamaniu uległa kość piszczelowa tylnej łapki.

Przy okazji poddano kotka zabiegowi kastracji. W związku z tym, że złamania nie mogą czekać i każdy kolejny dzień zwłoki zmniejsza szansę na przywrócenie sprawności natychmiast skonsultowałyśmy przypadek z okolicznymi lecznicami oferującymi usługi ortopedyczne.
Operacja umówiona już na najbliższy poniedziałek (08.01.2024r.) w Klinice "Centrum" w Bydgoszczy, w której kilkukrotnie w przeszłości z powodzeniem ratowano i stawiano na łapy nasze połamańce. Wojtuś jest zabezpieczony i oczekuje na zabieg.

Szacowany koszt operacji mającej przywrócić sprawność Wojtusiowi to 1500zł.
Zwracamy się z ogromną prośbą o wsparcie zbiórki i pomoc w zgromadzeniu środków na opłacenie operacji.
Prosimy także o udostępnienia.
Dziękujemy.
Uważasz, że ta zbiórka zawiera niedozwolone treści ? Napisz do nas


Gdy świat się wali, dajemy nadzieję ❤️ Pomagamy chorym i bezdomnym zwierzętom, ratujemy je w sytuacjach kryzysowych np. w czasie mrozów lub powodzi oraz wspieramy schroniska 🏠🐾
Jak odmienić los tysięcy potrzebujących za darmo?
✅ Wybierz Fundacja Pomagam.pl na liście OPP w rozliczeniu PIT.
✅ Wpisz nasz numer KRS 00 00 353 888 w deklaracji PIT.
Dla Ciebie to rubryka. Dla nich szansa, by przetrwać najgorsze.
Wpłata nie jest możliwa po końcu zbiórki.
Zrób jeszcze jeden mały krok.
Nawet 1 zł może pomóc!
