Niestety, wpłata na tę zbiórkę nie jest już możliwa.

Witajcie,
zwracam się do Was z prośbą o wsparcie w leczeniu naszego szczeniaka.
Malina to 7 miesięczny Labrador. Od razu złapała świetny kontakt z naszymi dziećmi, ale niestety coś zaczęło się z pieskiem dziać niepokojącego. Zachwiania równowagi, brak chęci do zabawy, spacerów. W celu zdiagnozowania wykonaliśmy szereg kosztownych badań (MRI, konsultacje z neurochirurgiem). Od tamtej pory jest leczona farmakologicznie - czyli przyjmuje sterydy. Przynosi to poprawę, ale pies nie zachowuje się jak typowy szczeniak. Brak mu chęci do biegania, zabawy.
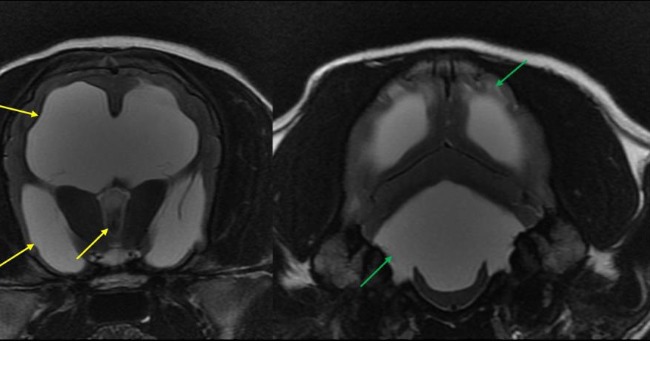
Po wizycie u neurochirurga i wykonaniu rezonansu stan szczeniaka spowodowany jest nagromadzeniem się płynu w czaszce, który uciska na nerwy powodując ból. Prościej choruje na wodogłowie.
Jedyną szansą na powrót do sprawności (Neurochirurg daje 80-90%) jest przeprowadzenie operacji która, polega na wprowadzeniu do mózgu zastawki
z drenem, który będzie odsączał płyn z głowy do jamy brzusznej.
Chcemy zaryzykować, wiele psów przechodziło pomyślnie operacje i wróciło
do kopania dziur w ogródku i ganiania za dzieciakami ;].
Koszt samej operacji to ok 10 tysięcy. Do tego doliczyć trzeba koszty rekonwalescencji.
Będziemy wdzięczni za każdą pomoc. Mamy niewiele czasu, aby coś zrobić. Jakby nie było Malina jest już członkiem naszej rodziny, dlatego chcemy jej dać szanse na dalsze życie.

Wstawiam Wam zdjęcia z prześwietlenia i opis.





Ten biały obszar który widać na zdjęciu to płyn, a czarny to mózg który jest uciskany.
Uważasz, że ta zbiórka zawiera niedozwolone treści ? Napisz do nas


Gdy świat się wali, dajemy nadzieję ❤️ Pomagamy chorym i bezdomnym zwierzętom, ratujemy je w sytuacjach kryzysowych np. w czasie mrozów lub powodzi oraz wspieramy schroniska 🏠🐾
Jak odmienić los tysięcy potrzebujących za darmo?
✅ Wybierz Fundacja Pomagam.pl na liście OPP w rozliczeniu PIT.
✅ Wpisz nasz numer KRS 00 00 353 888 w deklaracji PIT.
Dla Ciebie to rubryka. Dla nich szansa, by przetrwać najgorsze.
Wpłata nie jest możliwa po końcu zbiórki.
Zrób jeszcze jeden mały krok.
Nawet 1 zł może pomóc!
