Niestety, wpłata na tę zbiórkę nie jest już możliwa.


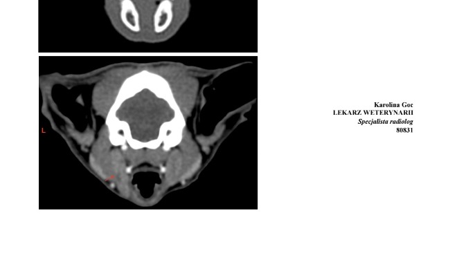
Lusia – kotka, która od 3. tygodnia życia walczy o każdy oddech. Wyniki tomografii i posiewów pokazują, jak poważny jest jej stan.
Lusia trafiła pod opiekę, kiedy była maleńkim kocięciem – miała zaledwie 3 tygodnie. Już wtedy zaczęły się jej problemy z oddychaniem i oczkiem. Dziś ma 3 lata, a mimo to nigdy nie była zdrowa ani beztroska. Zamiast zabawy i mruczenia – leczenie, antybiotyki, ropny katar, ból i ograniczone widzenie.

Wyniki tomografii głowy pokazują, jak bardzo choroba niszczy jej organizm:
• przewlekłe zapalenie jam nosowych z ropnym wysiękiem,
• zatkane przewody nosa i zatok, które utrudniają oddychanie,
• ubytki w przegrodzie nosowej,
• zanik kostny małżowin nosowych,
• powiększone węzły chłonne świadczące o ciągłej walce z infekcją.


A wynik posiewu potwierdził najgorszy scenariusz:

pałeczka ropy błękitnej (Pseudomonas aeruginosa) – bakteria wyjątkowo agresywna, oporna i niszcząca tkanki. To ona podtrzymuje stan zapalny, nasila ropny wypływ i uniemożliwia poprawę.
To nie jest „przewlekły katar”.
To choroba, która postępuje i odbiera jej siły.
Do tego dochodzi podwyższona kreatynina – nerki Lusi są już przeciążone przez długotrwałe leczenie.
A jej oczko?

Lusia niedowidzi na jedno oko.
Powieki są źle wykształcone, przez co ciągle dochodzi do podrażnień.
Codziennie musi otrzymywać krople, żeby ograniczać ból i stan zapalny.
Przeszła już operację usuwania zrostów, ale dr Garncarz, najlepszy okulista weterynaryjny w Polsce, nie rekomenduje kolejnych zabiegów, bo ryzyko pogorszenia jest zbyt duże.
Lusia pilnie potrzebuje:
• leczenia celowanego przeciw bakteriom opornym,
• rhinoskopii i dalszej diagnostyki,
• kontroli nerek oraz wsparcia narządowego,
• leczenia okulistycznego zachowawczego,
• opieki specjalistycznej,
• zabezpieczenia higienicznego.
I coś, co jest dla niej dramatycznie trudne:
Lusia nie może znaleźć domu.
Zaostrzenia choroby, ropny wypływ, zakażenia i konieczność stałej higieny sprawiają, że nikt nie decyduje się jej adoptować.
Dlatego pozostaje pod opieką stowarzyszenia, które musi zapewnić jej leczenie, bezpieczeństwo i dezynfekcję miejsca, w którym przebywa – to generuje dodatkowe koszty i ciągłą odpowiedzialność.
Lusia nigdy nie miała szansy na normalne życie. Od 3. tygodnia żyje w chorobie, a mimo to jest cicha, delikatna i ufna. Kiedy na nią patrzę, widzę kota, który się nie poddaje, choć jego ciało jest już zmęczone.
Nie chcę, żeby przegrała dlatego, że zabrakło środków na leczenie i opiekę.
Jeśli możesz – proszę, pomóż.
Jeśli nie możesz – udostępnij.
To naprawdę robi różnicę.

Twoje słowa mają moc pomagania! Wpłać darowiznę i przekaż kilka słów wsparcia 🤲
Uważasz, że ta zbiórka zawiera niedozwolone treści ? Napisz do nas


Gdy świat się wali, dajemy nadzieję ❤️ Pomagamy chorym i bezdomnym zwierzętom, ratujemy je w sytuacjach kryzysowych np. w czasie mrozów lub powodzi oraz wspieramy schroniska 🏠🐾
Jak odmienić los tysięcy potrzebujących za darmo?
✅ Wybierz Fundacja Pomagam.pl na liście OPP w rozliczeniu PIT.
✅ Wpisz nasz numer KRS 00 00 353 888 w deklaracji PIT.
Dla Ciebie to rubryka. Dla nich szansa, by przetrwać najgorsze.
Wpłata nie jest możliwa po końcu zbiórki.
Zrób jeszcze jeden mały krok.
Nawet 1 zł może pomóc!

Konrad
Trzymaj się maLusia 😉💪
Natalia
Trzymaj się Lusia ❤️
Basia
Zdrowiej! ;;
Ewelina
Dasz radę Lusiu, trzymam kciuki! ❤️
Paulina
Kochana Lusiu, życzę Ci dużo zdrówka! ❤️ Żebyś mogła beztrosko cieszyć się życiem ❤️