Niestety, wpłata na tę zbiórkę nie jest już możliwa.

Nie wiemy co stało się z łapką psiaka, czy został potrącony przez samochód, czy ktoś tak okrutnie go skrzywdził.

Wiemy tylko, że ostatkiem sił doczołgał się do gospodarstwa, gdzie został zabezpieczony i zaopiekowany do przyjazdu hycla.
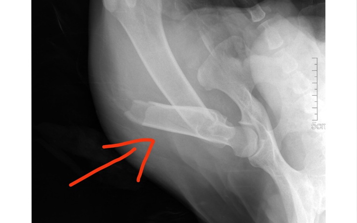
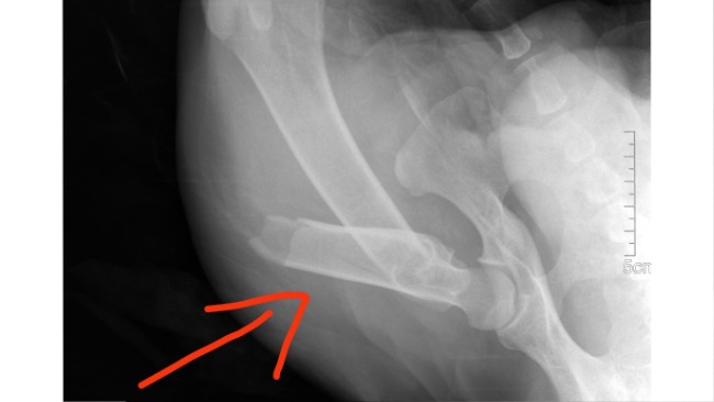
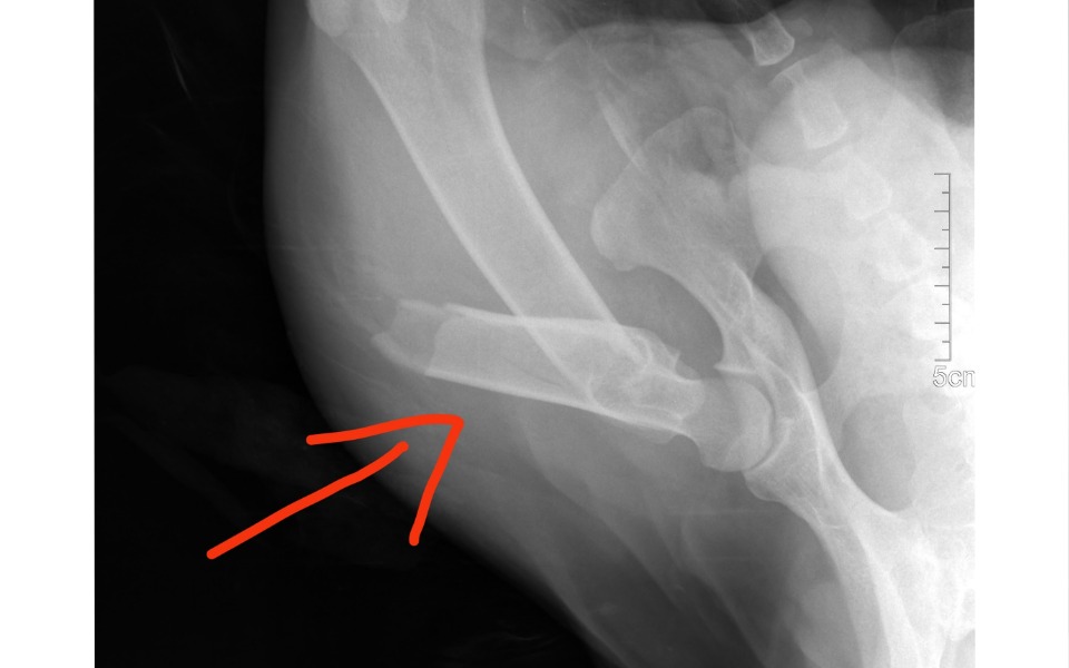
Baloo, bo tak dostał na imię, trafił do schroniska z okropnym złamaniem. Kość udowa w lewej tylnej łapie jest złamana w połowie długości.

Jedynym ratunkiem dla psiaka jest operacja, podczas której kość zostanie usztywniona na metalowej płycie.

Czas jest na wagę złota! Każdy dzień zwłoki będzie powodował, że Baloo ma mniejsze szanse na prawidłowe zrośnięcie się łapy.

Poza złamaną łapą Baloo jest koszmarnie wychudzony i zaniedbany. Waży niespełna 25kg! Owczarek jego wielkości powinien ważyć co najmniej 10kg więcej :(
Przed Baloo długa droga do zdrowia! Ale wiemy, że się uda. To najbardziej poczciwe psisko jakie znamy.

Pomimo bólu jakiego doznał merda ogonkiem na widok każdej osoby jaką spotka. U weterynarza dzielnie znosił wszystkie zabiegi. To kochany pies, któremu nie możemy odmówić pomocy!
Uważasz, że ta zbiórka zawiera niedozwolone treści ? Napisz do nas


Gdy świat się wali, dajemy nadzieję ❤️ Pomagamy chorym i bezdomnym zwierzętom, ratujemy je w sytuacjach kryzysowych np. w czasie mrozów lub powodzi oraz wspieramy schroniska 🏠🐾
Jak odmienić los tysięcy potrzebujących za darmo?
✅ Wybierz Fundacja Pomagam.pl na liście OPP w rozliczeniu PIT.
✅ Wpisz nasz numer KRS 00 00 353 888 w deklaracji PIT.
Dla Ciebie to rubryka. Dla nich szansa, by przetrwać najgorsze.
Wpłata nie jest możliwa po końcu zbiórki.
Zrób jeszcze jeden mały krok.
Nawet 1 zł może pomóc!
