Niestety, wpłata na tę zbiórkę nie jest już możliwa.

Znaleźliśmy ją leżącą na środku drogi — potrąconą, przerażoną i cierpiącą. Krówka, bo tak ją nazwaliśmy, przeszła już bardzo wiele.
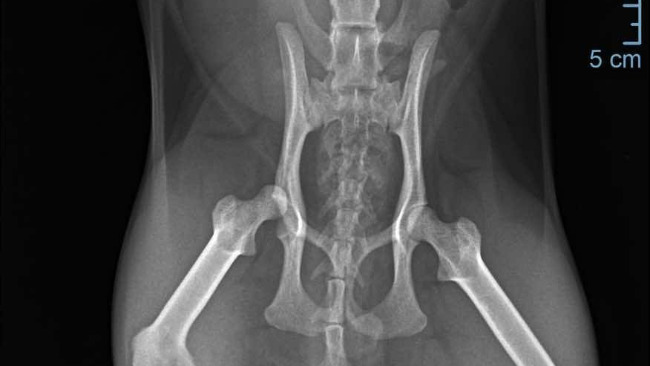
Miała wstrząs, przecięty język, a ból w jej oczach mówił więcej niż tysiąc słów.Po wykonaniu RTG okazało się, że ma zwichnięty staw biodrowy, który wymaga pilnej operacji. Jej koszt to 1500 zł. Do tego rehabilitacja…

Dodatkowo Krówka ma pęknięte podniebienie, a pierwsza konsultacja w gabinecie Fivet w Zabrzu wyniosła 230 zł, oraz badania 180zł.
To młoda, dzielna kotka, która walczy o życie z pomocą lekarzy i naszej opieki. Ale nie damy rady sami.
Każda złotówka, każde udostępnienie może uratować jej przyszłość.
Pomóżmy Krówce wrócić do zdrowia - dajmy jej szansę na życie bez bólu, na dom pełen miłości, którego tak bardzo potrzebuje.
Z góry dziękujemy za każde wsparcie – razem możemy zmieniać świat na LePsie!
Twoje słowa mają moc pomagania! Wpłać darowiznę i przekaż kilka słów wsparcia 🤲
Uważasz, że ta zbiórka zawiera niedozwolone treści ? Napisz do nas
Załóż darmową zbiórkę pieniędzy dla siebie, swoich bliskich lub potrzebujących!
Wpłata nie jest możliwa po końcu zbiórki.
Zrób jeszcze jeden mały krok.
Nawet 1 zł może pomóc!

Anonimowy Darczyńca
Wracaj do zdrowia Maleńka❤️
Pola Ignacak
Kròwko wracaj do zdrowia! Trzymam za Ciebie kciuki. Pola
Anonimowy Darczyńca
Zdrowiej maleńka