Patryk Piecyk
Witam,
dzisiaj niestety ostatni update dotyczący stanu zdrowia Frei.
Po trzech miesiącach ciężkiej walki o jej zdrowie, jej stan pogorszył się do takiego stopnia, że została podjęta decyzja o eutanazji.
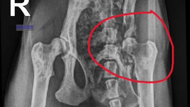
Problem z prawą łapką okazał się bardzo poważny - pręt który stabilizował jej kość pękł w pół, a sama kość została zmiażdżona. Nie wiemy jak do tego doszło, ale to prawdopodobnie przez to, że kręciła się po domu i gdzieś utknęła.
Miała również przepuklinę.
Rokowanie było takie, że nawet przy wyleczeniu problemów neurologicznych, potrzebna byłaby jej amputacja prawej przedniej i tylnej lewej łapki, co byłoby ciężkim życiem dla kota. Dodatkowo była w ogromnym bólu i cierpiała, więc podjęliśmy taką decyzję, żeby już się nie męczyła.
Nie była to łatwa decyzja.
Pieniądze które zebraliśmy przeznaczymy na zapłatę za eutanazję oraz kremację Frei oraz uregulowania płatności za poprzednie wizyty.
Dziękujemy za wszystkie wpłaty, udostępnienia oraz miłe słowa.
Załączam jedno z ostatnich zdjęć które zrobiłem Frei - dzisiaj u weterynarza.









Basia
Borys, Batman i Czuczu życzą zdrówka dla kociej koleżanki.
Patryk Piecyk - Organizator zbiórki
Pięknie dziękujemy!
amorek
3maj sie freja!!
Patryk Piecyk - Organizator zbiórki
I Ty również! Dzięki!