Niestety, wpłata na tę zbiórkę nie jest już możliwa.
ABI - TRZY MIESIĄCE ŻYCIA W NIEUSTANNYM BÓLU!! KONIECZNE JEST PRZEPROWADZENIE DWÓCH SKOMPLIWOWANYCH OPERACJI!

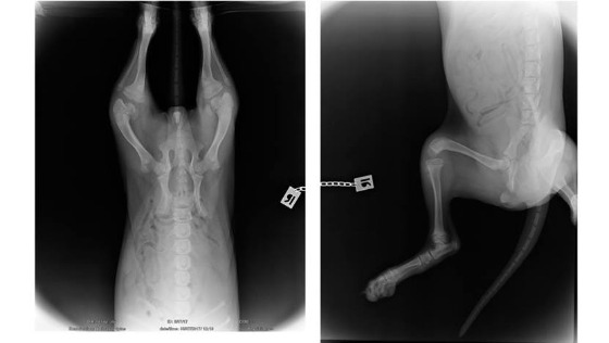
Patrząc na Abi każdy na pierwszy rzut oka pomyśli - "o jaki słodki szczeniaczek"... Ale, po chwili zauważymy, że cos jest nie tak... że Abi chodzi przykurczona, tył ciałka opada jej jakby sunia nie miała siły iść dalej.. Bez chwili zwłoki „oddaliśmy” ją w ręce specjalistów, którzy po wykonaniu badań postawili diagnozę i wiemy, że ta mała ślicznotka od urodzenia żyje w nieustannym bólu. Niestety, tego co czuje Abi od urodzenia, nie jesteśmy w stanie sobie wyobrazić! BÓL stał się dla niej "normalnością". To psie dziecko nie wie, co znaczy życie bez bólu! Abi nie wie, że bieganie za piłeczką, chodzenie, skakanie nie powinno boleć!
Abi cierpi na obustronne zwichnięcie rzepek do przyśrodka IV stopnia i nie ma możliwości żeby w tym momencie nawichnąć je do pozycji prawidłowej. Konieczne jest wykonanie skomplikwanych operacji obu kolan. Zabieg naprawczy w tym przypadku jest bardzo trudny..
Będzie on obejmował utworzenie rowka bloczka, przecięcie skróconego więzadła pobocznego przyśrodkowego rzepki, wytworzenie nowego więzadła pobocznego bocznego, a przede wszystkim usytuowanie guzowatości piszczelowej w miejscu prawidłowym, co będzie tym samym zlikwidowaniem przyczyny całego tego stanu. Trudność polega na tym że odcięcie i przesunięcie guzowatości piszczelowej może okazać się niewystarczające. Wtedy konieczne będą bardziej zaawansowane zabiegi osteotomii korekcyjnej. Podjęcie działań chirurgicznych musi być natychmiastowe, gdyż wraz ze wzrostem deformacje pogłębiają się. Prawdopodobnie Abi czeka seria zabiegów oraz długi okres rehabilitacji..

Abi pragnie stanąć na cztery łapki bez odczuwania bólu.. Dlatego błagamy Was kochane zwierzoluby o wsparcie dla ABI.. Nie ważne ile.. Każdy grosz, każda złotówka ma ogromne znaczenie..

Uważasz, że ta zbiórka zawiera niedozwolone treści ? Napisz do nas


Gdy świat się wali, dajemy nadzieję ❤️ Pomagamy chorym i bezdomnym zwierzętom, ratujemy je w sytuacjach kryzysowych np. w czasie mrozów lub powodzi oraz wspieramy schroniska 🏠🐾
Jak odmienić los tysięcy potrzebujących za darmo?
✅ Wybierz Fundacja Pomagam.pl na liście OPP w rozliczeniu PIT.
✅ Wpisz nasz numer KRS 00 00 353 888 w deklaracji PIT.
Dla Ciebie to rubryka. Dla nich szansa, by przetrwać najgorsze.
Wpłata nie jest możliwa po końcu zbiórki.
Zrób jeszcze jeden mały krok.
Nawet 1 zł może pomóc!
