Niestety, wpłata na tę zbiórkę nie jest już możliwa.







Jestem adminką strony społecznościowej na fb - Wyżły w Potrzebie.
Chcemy pomóc kolejnemu wyzłowi, którego zrzekli się właściciele.
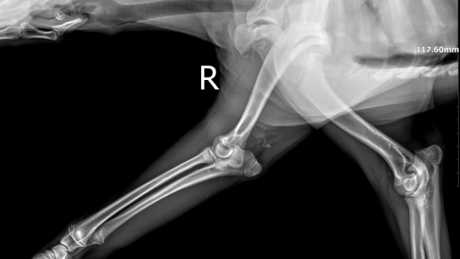
Harry to młodziutki (ok.1 roku) wyżełek po wypadku komunikacyjnym, w którym ucierpiały jego łapki. Łapka przednia wymaga natychmiastowej interwencji chirurgicznej!!!
Edit : W lecznicy podjęto decyzję o operowaniu obydwu łapek, koszt 3000 zł!!!
Zwiększyłam cel zbiórki z tego powodu.
Dołączam zdjęcia rtg łapek, które ucierpiały oraz opis z lecznicy.
Proszę wszystkich odwiedzających naszą stronę, wyżłomaniaków, nie tylko naszych przyjaciół, o pomoc w postawieniu Harrego na łapki, WYLECZONE ŁAPKI!!!
To taki młody pies, niech biega szczęśliwy, ma przed sobą tyle lat życia...
Pomóżcie przywrócić sprawność maluchowi!
Ewa Lukas

Uważasz, że ta zbiórka zawiera niedozwolone treści ? Napisz do nas


Gdy świat się wali, dajemy nadzieję ❤️ Pomagamy chorym i bezdomnym zwierzętom, ratujemy je w sytuacjach kryzysowych np. w czasie mrozów lub powodzi oraz wspieramy schroniska 🏠🐾
Jak odmienić los tysięcy potrzebujących za darmo?
✅ Wybierz Fundacja Pomagam.pl na liście OPP w rozliczeniu PIT.
✅ Wpisz nasz numer KRS 00 00 353 888 w deklaracji PIT.
Dla Ciebie to rubryka. Dla nich szansa, by przetrwać najgorsze.
Wpłata nie jest możliwa po końcu zbiórki.
Zrób jeszcze jeden mały krok.
Nawet 1 zł może pomóc!
