Niestety, wpłata na tę zbiórkę nie jest już możliwa.

Pozostawiona na bruku bez pomocy Bajka prosi o pomoc!
Ta młoda, przytulająca się do człowieka kotka trafiła do nas po wypadku komunikacyjnym. Nikt nie zwrócił uwagi na jej cierpienie.
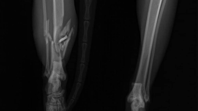
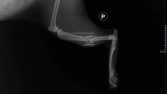
Jej łapka jest złamana, mamy szansę ją uratować by mogła odzyskać sprawność - potrzebna jest pilna operacja.
Łapa Bajki wisi bezwładnie od kolana w dół. Konieczne jest ustabilizowanie jej na płytce.


Bajka mimo bólu, który musi znosić jest kochaną, pozytywnie nastawioną dziewczynką - to takie nasze słoneczko. Obecnie przebywa w lecznicy, jest zabezpieczona lekami i oczekuję na operację.
Bardzo prosimy Was o wsparcie: każde udostępnienie, każda wpłata ma znaczenie.
Podarujmy Bajeczce szansę na dobre, zdrowe życie <3
Uważasz, że ta zbiórka zawiera niedozwolone treści ? Napisz do nas


Gdy świat się wali, dajemy nadzieję ❤️ Pomagamy chorym i bezdomnym zwierzętom, ratujemy je w sytuacjach kryzysowych np. w czasie mrozów lub powodzi oraz wspieramy schroniska 🏠🐾
Jak odmienić los tysięcy potrzebujących za darmo?
✅ Wybierz Fundacja Pomagam.pl na liście OPP w rozliczeniu PIT.
✅ Wpisz nasz numer KRS 00 00 353 888 w deklaracji PIT.
Dla Ciebie to rubryka. Dla nich szansa, by przetrwać najgorsze.
Wpłata nie jest możliwa po końcu zbiórki.
Zrób jeszcze jeden mały krok.
Nawet 1 zł może pomóc!
