Niestety, wpłata na tę zbiórkę nie jest już możliwa.

EDIT:
Kochani, na wstępie chcę Wam podziękować za tak ogromne zaangażowanie w postaci wpłat, udostępnień i słów otuchy. To, że w ciągu dwóch dni udało uzbierać się już prawie połowę kwoty, przerosło moje najśmielsze oczekiwania.
Sytuacja jest bardzo dynamiczna. Niestety, weterynarz w Lecce, który chciał się podjąć operacji, okazał się być niekompetentny. Postanowiliśmy więc operować Tolka w najlepszej klinice na Sycylii – Animal Hospital - Clinica Veterinaria Palermo. Po wymianie wielu e-maili i rozmowie telefonicznej z wybitną onkolog dr. Demoulin znany jest przybliżony koszt pierwszego kroku w stronę uratowania życia Tolbiuszka – 1 700€.

W tę kwotę wliczone są: VAT, operacja, opieka anestezjologiczna, badanie krzepliwości krwi, badanie histopatologiczne guza, USG przed i po operacji, do 3 dni w klinice oraz leki przeciwbólowe i kroplówki podczas hospitalizacji.
Kolejne koszty to zakup leków, które zostaną zapisane Tolkowi po wypisie z kliniki oraz po diagnostyce guza – odpowiednia chemioterapia.
W związku z tym postanowiłam zwiększyć cel zbiórki. Pomimo to, pragnę podkreślić, że to co udało się uzbierać do tej pory jest dla nas ogromnym wsparciem, tym bardziej, że operacja odbędzie się 15 bądź 16 stycznia.
Jeszcze raz dziękujemy z całego serca! <3
------------------------------------------------
Cześć!
Mam na imię Angelika i od 2019 roku jestem psią mamą najukochańszego adopciaka pod Słońcem. Niejednokrotnie wspierając zbiórki na pomagam, nie sądziłam, że kiedykolwiek znajdę się po drugiej stronie tej inicjatywy. Dziś to ja zwracam się do Was z prośbą o pomoc dla mojego Tolka.

Wszystko zaczęło się przed świętami Bożego Narodzenia ubiegłego roku, kiedy Tolek zaczął oddawać mocz z krwią. Na USG ujawnił się duży stan zapalny w pęcherzu i prostacie, a ponadto guz na lewej nerce. Po wyleczeniu stanu zapalnego i diagnostyce, których koszt wyniósł już ponad 1000 €, wiadomo dziś, że jest to rak złośliwy.
Wymaga on natychmiastowego usunięcia, póki jeszcze nie dał przerzutów. Koszt operacji to kolejne 1000€. Dodatkowo, badanie histopatologiczne kosztuje 80€ i po operacji czeka nas kuracja antybiotykami oraz lekami przeciwbólowymi. Następnie na podstawie wyników badania histopatologicznego, zostanie dobrana chemioterapia.
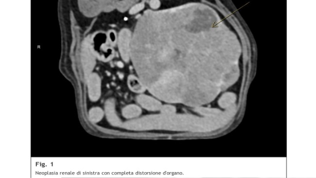
Tłumaczenie podpisu zdjęcia z tomografu: Nowotwór lewej nerki z całkowitym zniekształceniem narządu.
Jak zapewne część z Was wie – Tolbian to wielki podróżnik, który od ponad dwóch lat żyje ze mną w kamperze. Aktualnie znajdujemy się z Tolkiem we Włoszech, dlatego ceny podaję w euro.
Weterynarz zaproponował, aby operacja odbyła się już 14 stycznia. Jeśli nie dojdzie ona do skutku, Tolkowi pozostanie od 1 do 3 miesięcy życia.
Tolek nie jest jeszcze staruszkiem – weterynarze twierdzą, że ma 7-9 lat. Do tego jest mega silnym pieskiem, bo jak się okazało na prześwietleniu rentgenowskim – musiał być kiedyś postrzelony, a pocisk zatrzymał się w żebrach, blisko aorty.

Pieniądze z tej zbiórki zostaną przeznaczone na operację usunięcia guza i na jego badanie histopatologiczne oraz na leki, które pomogą przejść Tolkowi okres rekonwalescencji bez bólu i powikłań. Na ten moment najbardziej liczy się czas działania, dlatego też powstała ta zbiórka.
Z całego serca DZIĘKUJEMY za każdy, nawet ten najmniejszy, datek <3

Angelika i Tolek
Twoje słowa mają moc pomagania! Wpłać darowiznę i przekaż kilka słów wsparcia 🤲
Uważasz, że ta zbiórka zawiera niedozwolone treści ? Napisz do nas


Gdy świat się wali, dajemy nadzieję ❤️ Pomagamy chorym i bezdomnym zwierzętom, ratujemy je w sytuacjach kryzysowych np. w czasie mrozów lub powodzi oraz wspieramy schroniska 🏠🐾
Jak odmienić los tysięcy potrzebujących za darmo?
✅ Wybierz Fundacja Pomagam.pl na liście OPP w rozliczeniu PIT.
✅ Wpisz nasz numer KRS 00 00 353 888 w deklaracji PIT.
Dla Ciebie to rubryka. Dla nich szansa, by przetrwać najgorsze.
Wpłata nie jest możliwa po końcu zbiórki.
Zrób jeszcze jeden mały krok.
Nawet 1 zł może pomóc!

Anonimowy Darczyńca
Wszystkiego dobrego dla Was!
Ewka
Kazdy piesek zasluguje na leczenie. Przechodzilismy przez podobna sytuacje ostatnio i wiem, czym jest ten strach i determinacja, zeby ocalic psiaka. Trzymam kciuki za jeszcze dlugie lata hasania
Gosia
Trzymaj się pieseczku ❤️
Anonimowy Darczyńca
Kochany! Trzymaj się tam dzielnie! 🥹❤️
___just.j
♡