Anna Wójtowicz
Tak wygląda jej ogon po odgryzieniu, krótki czas po zmianie opatrunku.

Niestety, wpłata na tę zbiórkę nie jest już możliwa.

Kotka Jola to kochana 4miesięczna kulka nie-Szczęścia - koci katar, potrącenie, długie leczenie... Ale jako młody, silny organizm zwalczyła wszystkie choroby.
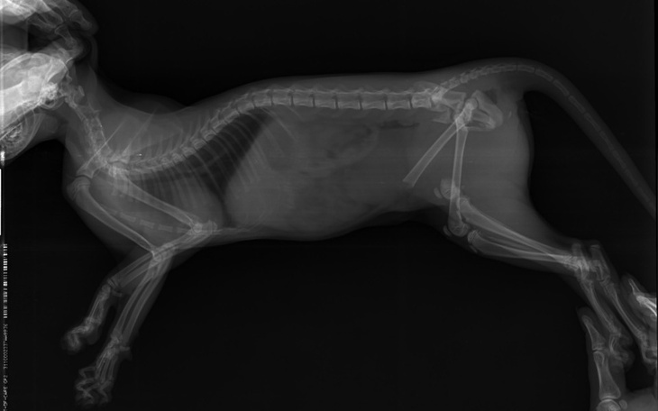
Niestety, ponownie uległa wypadkowi, w wyniku ktorego tylna łapa uległa złamaniu. Doszło do uszkodzenia miednicy i prawdopodobnie do utraty czucia w ogonie, który Kotka częściowo sobie odgryzła, co powoduje, że interwencja w tej materii jest niezbędna.
Kilka wizyt u rożnych weterynarzy i wszędzie ta sama diagnoza: "złamanie kości jest na tyle skomplikowane, że niemożliwe jest ich ponowne złożenie"
Jedyną szansą na uratowanie kotki jest zabieg amputacji złamanej łapki i ogona. Chociaż kotce dopisuje apetyt i stara się normalnie funkcjonować nie można pozostawić jej w tym stanie. Pęknięta kość może przebić skórę a sama martwica ogona jest już niebezpieczna dla jej zdrowia i życia . Kotce są podawane leki przeciwbólowe i antybiotyki ale weterynarze zaznaczają iż na pewno cierpi i nie można zwlekać z podjęciem decyzji o jej dalszym losie.
Koszt amputacji łapki i ogona oraz leczenie około operacyjne wynosić będzie około 3000 zł.
Prosimy o pomoc. Mamy mało czasu...
Edit: znalazł się lekarz, który wykona zabieg za niższą kwotę!
Tak wygląda jej ogon po odgryzieniu, krótki czas po zmianie opatrunku.

Uważasz, że ta zbiórka zawiera niedozwolone treści ? Napisz do nas


Gdy świat się wali, dajemy nadzieję ❤️ Pomagamy chorym i bezdomnym zwierzętom, ratujemy je w sytuacjach kryzysowych np. w czasie mrozów lub powodzi oraz wspieramy schroniska 🏠🐾
Jak odmienić los tysięcy potrzebujących za darmo?
✅ Wybierz Fundacja Pomagam.pl na liście OPP w rozliczeniu PIT.
✅ Wpisz nasz numer KRS 00 00 353 888 w deklaracji PIT.
Dla Ciebie to rubryka. Dla nich szansa, by przetrwać najgorsze.
Wpłata nie jest możliwa po końcu zbiórki.
Zrób jeszcze jeden mały krok.
Nawet 1 zł może pomóc!
