Teresa Warner
Paragon za krople do oczek

Niestety, wpłata na tę zbiórkę nie jest już możliwa.

EDIT II:
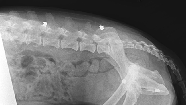
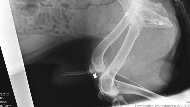
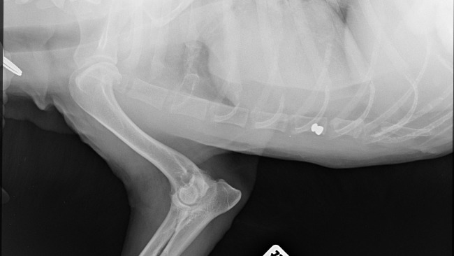
Ostatnie wizyty u specjalistów kompletnie mnie rozwaliły. U ortopedy prześwietlenia wykazały silne zmiany zwyrodnieniowe prawie wszystkich stawów, w tym te niezwykłe bolesne w bioderkach oraz zwichnięcie rzepki. Dlatego Jogi ma takie problemy z chodzeniem.
Ale na zdjęciach zobaczyłam coś znacznie gorszego, co rozwaliło mi serce na miliony kawałków. Ten biedak jest cały nafaszerowany śrutem. Jakiś zwyrodnialec strzelał do niewidomego psiaka, który nie wiedział, z której strony padały strzały i nawet nie był w stanie uciekać. CZY MOŻECIE WYOBRAZIĆ SOBIE TEN STRACH I CIERPIENIE ???!!!!!!!!!!!!!!!!!!!!! Jakim trzeba być zwyrolem i zarazem tchórzem, żeby strzelać do kalekiego, niewidomego zwierzaka.







Byliśmy również u kardiologa i niestety serduszko też jest do leczenia.
Wszystko spadło na tego biednego psiaka




EDIT: Jesteśmy już po wizycie u okulisty, dr Szadkowskiego na Uniwersytecie Przyrodniczym w Lublinie. Potwierdził on fakt, że Joguś nie widzi. Teraz będziemy walczyć o uwolnienie go od bólu spowodowanego wysokim ciśnieniem w oczku. Zaczęliśmy od leków i przed nami decyzja czy wykonać ablację oczka, czy usunąć gałkę oczną. Przy następnej wizycie podejmiemy wspólnie z okulistą decyzję.
11 lutego mamy umówioną wizytę u ortopedy, dr Wysokińskiego, żeby sprawdzić dlaczego chodzenie sprawia mu ból.
Podczas wizyty u okulisty okazało się, że serduszko Jogiego nie pracuje prawidłowo, dlatego umawiamy go do kardiologa, gdyż niezbędne jest wykonanie echo serca.
Na bieżąco będę tutaj zamieszczać kolejne informacje po kolejnych wizytach.
------------------------------------------
W dniu wczorajszym dowiedziałam się o psie, który pojawił się wczoraj na drodze, w lesie w jednej z wsi w gminie Ryki. Miejsce znalezienia jest istotne, ale o tym za chwilę. Osoba, która go znalazła obdzwoniła kilka organizacji, jednak nie otrzymała pomocy. Zrezygnowana i nieświadoma poinformowała gminę. A gmina ma podpisaną umowę z MORDOWNIĄ W SOBOLEWIE!!!!
Na szczęście pies oddalił się zanim schronisko przyjechało, ale zagrożenie nie minęło, bo kto inny mógł go złapać i zadzwonić do gminy.
I kiedy pies pojawił się ponownie, pomimo, że jestem osobą prywatną, która ma już pod opieką kilka bezdomniaków, nie mogłam na to pozwolić. Dlatego wraz z koleżanką wskoczyłyśmy w samochód pognałyśmy po to stworzenie. Kiedy tylko miałyśmy go w samochodzie od razu zawiozłyśmy go do weterynarza.
Jogi, bo takie dałyśmy mu imię nie widzi. Obija się, kręci się w kółko. Na jednym oku zaawansowana zaćma, w drugim postępująca jaskra, duże ciśnienie powoli wypycha mu gałkę.
Ma też duże problemy z chodzeniem. Chodzi, ale utyka na wszystkie łapy i widać, że sprawia mu to okropny ból.
Z mniejszych, choć nie mniej ważnych rzeczy to zapalenie napletka.
Od razu zaaplikowano antybiotyk i leki na oczy, już zapisałyśmy go do ortopedy i okulisty. Jesteśmy w trakcie dalszej diagnostyki i czekamy, co jeszcze może wyjść.
Jogi obecnie przebywa w hoteliku dla zwierząt.

Dlatego bardzo proszę o wsparcie Jogiego, on zasługuje na naszą pomoc.










Twoje słowa mają moc pomagania! Wpłać darowiznę i przekaż kilka słów wsparcia 🤲
Uważasz, że ta zbiórka zawiera niedozwolone treści ? Napisz do nas


Gdy świat się wali, dajemy nadzieję ❤️ Pomagamy chorym i bezdomnym zwierzętom, ratujemy je w sytuacjach kryzysowych np. w czasie mrozów lub powodzi oraz wspieramy schroniska 🏠🐾
Jak odmienić los tysięcy potrzebujących za darmo?
✅ Wybierz Fundacja Pomagam.pl na liście OPP w rozliczeniu PIT.
✅ Wpisz nasz numer KRS 00 00 353 888 w deklaracji PIT.
Dla Ciebie to rubryka. Dla nich szansa, by przetrwać najgorsze.
Wpłata nie jest możliwa po końcu zbiórki.
Zrób jeszcze jeden mały krok.
Nawet 1 zł może pomóc!

Kuba
Trzymaj się piesiu
Igor STRZOK-LEWICKI
Dziękuję że Pani pomogła temu biedakowi....