Iwona Sadowska
Florka ma płyn w opłucnej😕
Jutro o 12.30 mamy kardiologa.
Mam przeczucie, że to jednak fip😔
Dużo odpoczywa, ale na szczęście ma apetyt.

Niestety, wpłata na tę zbiórkę nie jest już możliwa.








Od dwóch lat prowadzę samodzielny dom tymczasowy dla kotów. Przez ten czas udało mi się wyadoptować ponad 150 kotów, wszystkie zaczipowane i zaszczepione.
Przygarniamy kociaki małe i duże z terenu Warszawy i z innych miejscowości.
Flafi to 5 letni którego nieplanowanie zabrałam ze wsi pod Piasecznem.
Pojechalam po małą kotkę, a napatoczył się on...Kuśtykający, brudny z wielką raną za uchem i nie wykastrowany.
Kocurek nie miał lekko w życiu i bardzo dużo przeszedł. Łapka jest obcięta być może przez wnyki a zęby powybijane.

Nie miałyśmy w planach go zabierać, ale kiedy podszedł do mnie, zaczął mruczeć i ocierać się o mnie natychmiast zapadła decyzja że zabieramy go ze sobą.
Na jego i nasze szczęście zgodzili się go przyjąć w ośrodku Koteria.
Flafi jest wykastrowany i ma podleczoną ranę, którą ciągle sobie rozkrwawia ocierając się o wszystko. Ma w sobie ogromne pokłady miłości i z pewnością będzie z niego super kociak :)
W piątek Flafi będzie miał wizytę u ortopedy.
Będzie to dla Niego bardzo ważny dzień, bo dowiemy się co będzie dalej z jego uszkodzoną łapką.
Mam wrażenie, że go jednak boli 😔
Boję się, że będzie konieczna amputacja 🙄
Żeby tego było mało to kiedy dotyka się go w okolicy ogona robi się niespokojny.. Tak jakby go coś bolało 😔
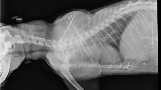
Będziemy robić dokładne zdjęcia rtg.
Z całego serca proszę o wsparcie dla tego cudownego kota.
Muszę go też zaszczepić i zaczipować. Potrzebuje tez obrożę feromonową ponieważ ma odruch gryzienia.
Muszę mu zapewnić również karmę i żwirek.
Oprócz Flafiego mam pod opieką też inne kociaki, między innymi 8 tygodniowe maluchy Florę i Irysa z chorymi oczkami oraz Messi ,Mery, Gucię,Mruczysława i Bonifacego i 5 swoich kotów😕




Więcej informacji na temat mojego dt na stronie „Sierściuchy z Mokotowa”
Z góry dziękuję za każdą najdrobniejszą wpłatę❤️
Florka ma płyn w opłucnej😕
Jutro o 12.30 mamy kardiologa.
Mam przeczucie, że to jednak fip😔
Dużo odpoczywa, ale na szczęście ma apetyt.

Twoje słowa mają moc pomagania! Wpłać darowiznę i przekaż kilka słów wsparcia 🤲
Uważasz, że ta zbiórka zawiera niedozwolone treści ? Napisz do nas


Gdy świat się wali, dajemy nadzieję ❤️ Pomagamy chorym i bezdomnym zwierzętom, ratujemy je w sytuacjach kryzysowych np. w czasie mrozów lub powodzi oraz wspieramy schroniska 🏠🐾
Jak odmienić los tysięcy potrzebujących za darmo?
✅ Wybierz Fundacja Pomagam.pl na liście OPP w rozliczeniu PIT.
✅ Wpisz nasz numer KRS 00 00 353 888 w deklaracji PIT.
Dla Ciebie to rubryka. Dla nich szansa, by przetrwać najgorsze.
Wpłata nie jest możliwa po końcu zbiórki.
Zrób jeszcze jeden mały krok.
Nawet 1 zł może pomóc!

Maria Generalczyk
Dziękujemy za wszystko!!
Anonimowy Darczyńca
Pani Iwono, ma Pani wielkie serce ❤️ Powodzenia i trzymam kciuki
Iwona Sadowska - Organizator zbiórki
Dziękuję bardzo🙂 Dam znać jutro po wizycie co powiedział chirurg. Pozdrawiam
Moje serduszko
Obyś zaznał jeszcze wiele szczęścia
Iwona Sadowska - Organizator zbiórki
Napewno znajdzie. To świetny kociak🙂