Magdalena Daszkiewicz
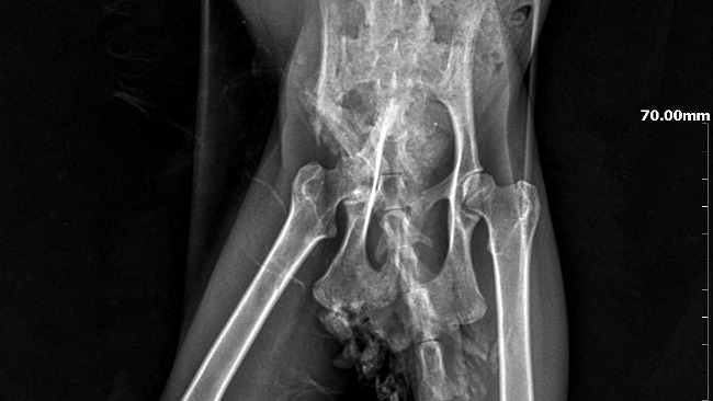
Charlotte przeszła więcej, niż powinno spaść na jedno kocie życie – złamanie miednicy, megacolon, FIP… każda z tych diagnoz osobno byłaby trudna, razem – stanowiły ogromne wyzwanie. Ale Charlotte nie była w tej walce sama. Byliście z nami – i to właśnie dzięki Wam ta historia kończy się dobrze.
Nie ma słów, które w pełni wyrażą naszą wdzięczność.
Każda wpłata, każde udostępnienie, każde dobre słowo – to była cegiełka w odbudowie zdrowia Charlotte.
Dziś – mimo że jej organizm nadal wymaga troski i uwagi – jest radosna, silna i coraz bardziej niezależna. Ma ogromny apetyt, dopomina się o głaski i z każdym dniem odzyskuje radość życia.
Dziękujemy Wam – w imieniu Charlotte i całego zespołu Fundacji Koci Pazur – za serce, za zaufanie i za to, że razem mogliśmy dokonać czegoś pięknego.
To dzięki Wam ta historia ma szansę na szczęśliwe zakończenie. 🧡🐾

















Benuś Mruczuś
❤️🐾
Kazimierz
Bardzo a to bardzo przykre jest jak ktoś w domu choruje i trudno to świństwo wyleczyć , Też miałem swojego przyjaciela Filipka kota i nic nie dało się zrobić . Wiem jakie to jest smutne . Pozdrawiam.
Agnieszka
Bądź dzielna koteczko . Trzymam mocno za ciebie kciuki 👍👍
Marzena
🙏❣️
Joanna K
Zdrowiej kocinko❤️