Niestety, wpłata na tę zbiórkę nie jest już możliwa.

Znacie może ból wypadającej rzepki? Okropny ból niesprawnych kolan? Gdy nie możecie wstać, a każdy krok jest wysiłkiem?
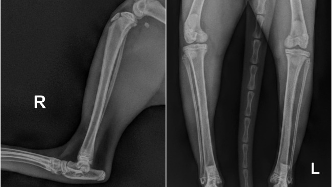
Gdy jesteś młodym kotkiem, takim jak nasza Panda, chcesz biegać, skakać, wspinać się po drapaku na sam szczyt. Niestabilne rzepki w kolanach uniemożliwiają koteczce normalne funkcjonowanie :( Po konsultacji u ortopedy, Panda ma wskazanie na pilne zabiegi rekonstrukcji rzepek - pierwsza już w najbliższą środę.
Niestety koszt jednej operacji to ok. 2500-3000 zł. Musimy Was prosić o wsparcie, by Panda mogła cieszyć się sprawnymi nóżkami.

Uważasz, że ta zbiórka zawiera niedozwolone treści ? Napisz do nas


Gdy świat się wali, dajemy nadzieję ❤️ Pomagamy chorym i bezdomnym zwierzętom, ratujemy je w sytuacjach kryzysowych np. w czasie mrozów lub powodzi oraz wspieramy schroniska 🏠🐾
Jak odmienić los tysięcy potrzebujących za darmo?
✅ Wybierz Fundacja Pomagam.pl na liście OPP w rozliczeniu PIT.
✅ Wpisz nasz numer KRS 00 00 353 888 w deklaracji PIT.
Dla Ciebie to rubryka. Dla nich szansa, by przetrwać najgorsze.
Wpłata nie jest możliwa po końcu zbiórki.
Zrób jeszcze jeden mały krok.
Nawet 1 zł może pomóc!
