Niestety, wpłata na tę zbiórkę nie jest już możliwa.

Moja maleńka 2-letnia Lady potrzebuje pilnej pomocy 💔🐾

Nie myślałam nigdy, że pomoc moim zwierzętom przekroczy moje możliwości finansowe, dlatego diagnoza mojej małej kruszynki mnie zdruzgotała 😭 Oprócz Lady, mamy jeszcze pod opieką 2 psy i 2 koty, które są pod stałą opieką weterynaryjną.
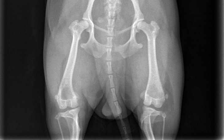
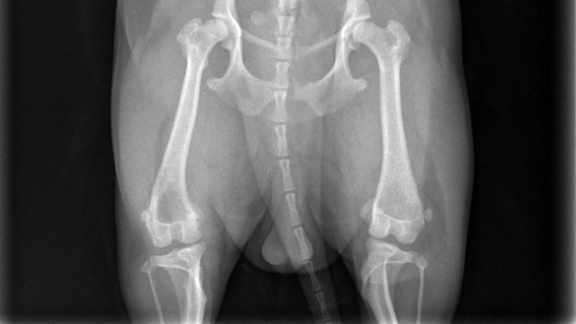
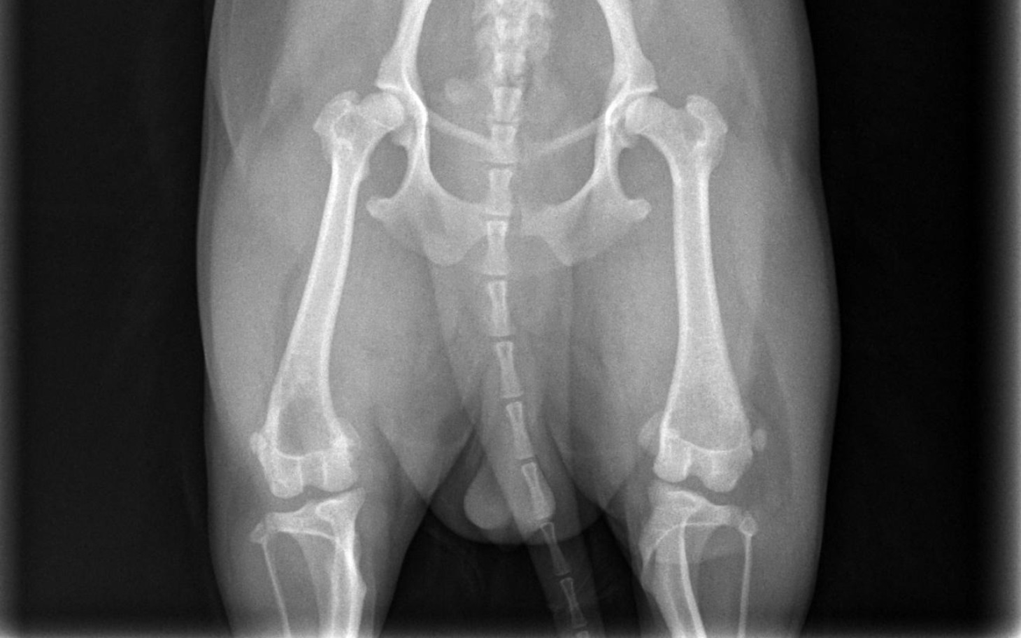
Każde z tych zwierzątek to dla mnie członek rodziny, moje codzienne wsparcie i ogromna radość. Niestety, los nie był Lady dla łaskawy. Zdiagnozowano u niej chorobę ganetyczną, obustronne zwichnięcie przyśrodkowe rzepek II stopnia w obu tylnych łapkach.



Oznacza to, że każdy krok sprawia jej ból. Czasem podnosi łapki, unika chodzenia i piszczy z bólu, a ja widzę, jak bardzo się męczy… 💔
Lekarze jasno powiedzieli, że bez operacji jej stan będzie się pogarszał. W każdej chwili jej tylne łapki mogą stać się całkowicie niesprawne… To myśl, która łamie mi serce.
Jedyną szansą na normalne życie bez bólu i ograniczeń jest operacja obu tylnych łapek, trzeba je złamać, odpowiednio ustawić i ustabilizować. Szacowany koszt zabiegu to około 15 000 zł, dodatkowo koszty rehabilitacji i leczenia, co niestety przekracza moje możliwości finansowe.
Dlatego z całego serca proszę o pomoc. Każda, nawet najmniejsza wpłata, przybliża nas do tego, by moja Lady mogła znów biegać, bawić się i żyć bez cierpienia 🐶✨
Spacerki to jej największa radość. Dziś coraz częściej musi z nich rezygnować przez ból. Pomóż mi przywrócić jej to, co kocha najbardziej czyli możliwość biegania bez cierpienia 💔
Jeśli nie możesz pomóc finansowo udostępnienie tej zbiórki to dla nas też ogromne wsparcie.
Dziękuję za każdą pomoc, dobre słowo i okazane serce ❤️
Uważasz, że ta zbiórka zawiera niedozwolone treści ? Napisz do nas


Gdy świat się wali, dajemy nadzieję ❤️ Pomagamy chorym i bezdomnym zwierzętom, ratujemy je w sytuacjach kryzysowych np. w czasie mrozów lub powodzi oraz wspieramy schroniska 🏠🐾
Jak odmienić los tysięcy potrzebujących za darmo?
✅ Wybierz Fundacja Pomagam.pl na liście OPP w rozliczeniu PIT.
✅ Wpisz nasz numer KRS 00 00 353 888 w deklaracji PIT.
Dla Ciebie to rubryka. Dla nich szansa, by przetrwać najgorsze.
Wpłata nie jest możliwa po końcu zbiórki.
Zrób jeszcze jeden mały krok.
Nawet 1 zł może pomóc!
