Stowarzyszenie Koty Prezesowej
DESPERADO NIE ŻYJE, NIESTETY BEZE SERCA SIĘ ROZPADŁY NA MILION KAWAŁKÓW. Sprawa dlaczego tak się stało będzie przez nas wyjaśniana. 😭😭😭
Niestety, wpłata na tę zbiórkę nie jest już możliwa.

Historia Desperado jest smutna. Trafił do nas w końcówce sierpnia i od tamtej pory jest pod naszą opieką. Najpierw rokowania w stosunku do niego były złe do bardzo ostrożnych. Każdego dnia walczyłyśmy o to, żeby przeżył, żeby się nie męczył, żeby jadł, żeby pozbył się moczu i kału.

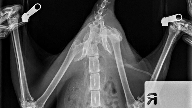
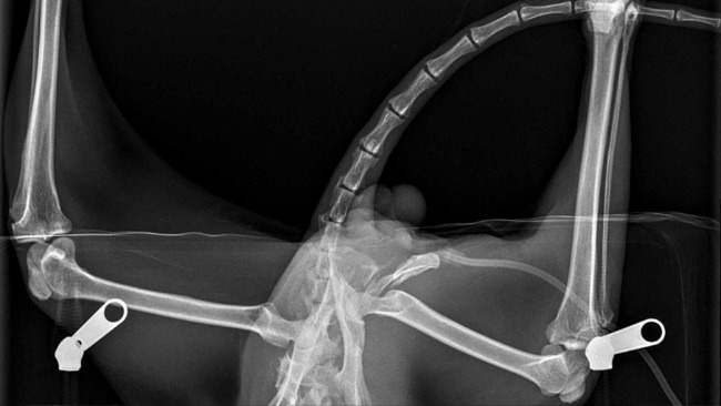
Od tygodni jeździmy z nim codziennie do weterynarza. I od tygodni obserwujemy, jak Desperado desperacko chce żyć. Nie może chodzić z powodu strzaskanej miednicy. Nie można było zdecydować się na operację, dopóki stan ogólny kota na to nie pozwalał.




Ale jest coraz lepiej, Desperado ma za sobą usunięcie części zębów. Zniknęło kolejne ognisko bólu i Desperado wskoczył na kolejny, wyższy pułap szczęścia. Kiedyś był kotem dzikim, nieufnym i wycofanym. Po operacji odprowadzenia przepukliny widać było, że stan Desperado zaczął się stabilizować. Im dłużej z nim jesteśmy, tym bardziej widzimy, jak cudowny to jest kot. Bolała go szczęka, boli połamana miednica. A jednak jak tylko poczuł, że otwieranie pyska nie grozi bólem, zaczął wręcz mruczeć z radości i stale domagać się pieszczot.
A przed nim najważniejsza operacja: poskładania kości miednicy i nóg w całość. Operacja odbędzie się w całodobowej klinice. Operował naszego kota będzie doktor Krajewski. Wierzymy, że się uda i że w końcu Desperado stanie na nogi.
Na operację potrzeba pieniędzy. My nie mamy już nic. Wszystko idzie i na Desperado, i na najmłodszych rezydentów. Prosimy, nie zostawiajcie go teraz. Jesteśmy tuż przed metą. Błagamy – pomóżcie Desperado!!! Musimy do piątku uzbierać minimum 5 tysięcy, inaczej operacja się nie odbędzie!!!




DESPERADO NIE ŻYJE, NIESTETY BEZE SERCA SIĘ ROZPADŁY NA MILION KAWAŁKÓW. Sprawa dlaczego tak się stało będzie przez nas wyjaśniana. 😭😭😭
Twoje słowa mają moc pomagania! Wpłać darowiznę i przekaż kilka słów wsparcia 🤲
Uważasz, że ta zbiórka zawiera niedozwolone treści ? Napisz do nas


Gdy świat się wali, dajemy nadzieję ❤️ Pomagamy chorym i bezdomnym zwierzętom, ratujemy je w sytuacjach kryzysowych np. w czasie mrozów lub powodzi oraz wspieramy schroniska 🏠🐾
Jak odmienić los tysięcy potrzebujących za darmo?
✅ Wybierz Fundacja Pomagam.pl na liście OPP w rozliczeniu PIT.
✅ Wpisz nasz numer KRS 00 00 353 888 w deklaracji PIT.
Dla Ciebie to rubryka. Dla nich szansa, by przetrwać najgorsze.
Wpłata nie jest możliwa po końcu zbiórki.
Zrób jeszcze jeden mały krok.
Nawet 1 zł może pomóc!

Anonimowy Darczyńca
Wrzucam do skarbonki i proszę przyjaciół, żeby też się dorzucili.
Anonimowy Darczyńca
Trzymam kciuki. Jesteście bardzo dzielne.